logo
  • Radio
    Retrouver un titreFréquencesÉmissionsVibration en DAB+Horoscope
  • Actu
    Tour Vibration 2023L'ActuLes ArtistesLes Gros Plans de la RédacÇa BuzzeÉvénementsClubs partenairesSalles partenairesPremium News
  • Podcasts
    C'est votre quotidienL'actu gamingL’intelligence artificielle : entre fascination et méfianceLa minute consoLe focus de la rédactionLes défis de la parentalitéLes nouveautés séries de la semaineLes sorties ciné de la semaineMobilité : comment réduire nos émissions ?Portrait citoyen
  • Jeux
    À gagner sur VibrationClub partenairesRèglement des jeux
  • Régie Pub
  • Contact
  • Live : Choisir une ville
    Choisir une villeAngersArgenton-sur-CreuseAutunAuxerreBloisBourgesChâteau-ChinonChâteaudunChâteaurouxDourdanÉtampesGienIssoudunLa ChâtreLe BlancLe MansLochesMamersMontargisMontluçonMoulinsNeversNogent-le-RotrouOrléansPithiviersRomorantin-LanthenaySaint-Amand-MontrondSancerreSensToursVendômeVierzon
  • Webradios
    Vibration 80'sVibration 90'sVibration 2000VIbration @WorkVibration ClubVibration En FrançaisVibration LoungeVibration Love
  • Podcasts

Ça buzze

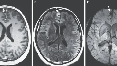
Un ver mort découvert dans le cerveau d’un homme (Photo)

19 novembre 2021

Un ver mort découvert dans le cerveau d’un homme (Photo)

Pour éviter que sa box soit piratée, il brouille les communications...

19 novembre 2021

Pour éviter que sa box soit piratée, il brouille les communications...

Record battu au "festival du Cyclisme Lent"

19 novembre 2021

Record battu au "festival du Cyclisme Lent"

Elle avale accidentellement ses écouteurs sans fil (Vidéo)

18 novembre 2021

Elle avale accidentellement ses écouteurs sans fil (Vidéo)

Contraception masculine : en attendant la pilule, le slip chauffant

18 novembre 2021

Contraception masculine : en attendant la pilule, le slip chauffant

Un "téléphone pour chiens" pour atténuer leur solitude

18 novembre 2021

Un "téléphone pour chiens" pour atténuer leur solitude

Un atterrissage d’urgence à cause d’une odeur nauséabonde dans l'avion

17 novembre 2021

Un atterrissage d’urgence à cause d’une odeur nauséabonde dans l'avion

Les ventes de pantoufles de Limoges explosent grâce aux confinements

17 novembre 2021

Les ventes de pantoufles de Limoges explosent grâce aux confinements

Une camionnette coupée en deux par un train, le chauffeur indemne...

16 novembre 2021

Une camionnette coupée en deux par un train, le chauffeur indemne...

  • 88
  • 89
  • 90
  • 91
  • 92
  • 93
  • 94
  • 95
  • 96
  • 97

L'actu

Les 4 infos du mardi 30 avril

30 avril 2024

Les 4 infos du mardi 30 avril

Gabriel Attal à Beaugency

30 avril 2024

Gabriel Attal à Beaugency

Meurtre de Matisse à Châteauroux : le suspect et sa mère mis en examen

30 avril 2024

Meurtre de Matisse à Châteauroux : le suspect et sa mère mis en examen

Justice restaurative : quand victime et auteur de crimes s’assoient...

30 avril 2024

Justice restaurative : quand victime et auteur de crimes s’assoient...

Fêtes de Jeanne d'Arc d'Orléans 2024 : Marie-Amélie Le Fur invitée...

29 avril 2024

Fêtes de Jeanne d'Arc d'Orléans 2024 : Marie-Amélie Le Fur invitée...

Les 4 infos du lundi 29 avril

29 avril 2024

Les 4 infos du lundi 29 avril

Voir plus

Les artistes

Santa : « Voir les choses en grand »

25 avril 2024

Santa : « Voir les choses en grand »

Taylor Swift : Déjà un record d’écoutes pour son nouvel album

25 avril 2024

Taylor Swift : Déjà un record d’écoutes pour son nouvel album

VIDÉO. Slimane : "On a une prestation qui sort du lot à l’Eurovision"

22 avril 2024

VIDÉO. Slimane : "On a une prestation qui sort du lot à l’Eurovision"

Les sorties musicales du vendredi 19 avril

19 avril 2024

Les sorties musicales du vendredi 19 avril

Taylor Swift : son nouvel album The Tortured Poets Department est...

19 avril 2024

Taylor Swift : son nouvel album The Tortured Poets Department est...

Voir plus

Site créé par les Indés Radios

  • Mentions légales
  • Règlements des jeux
  • Notice d’information RGPD
  • Plan du site
logo